DNA Fragmentation
Zusätzliche Klarheit bei der männlichen Fruchtbarkeitsdiagnostik
Spermien tragen die genetische Information des Vaters in ihrer DNA. Kommt es in den DNA-Strängen dieser Zellen zu Schäden oder Brüchen, spricht man von DNA-Fragmentation. In der Basis-Kinderwunschdiagnostik des Mannes wird zunächst ein Spermiogramm erstellt, das Aufschluss über Anzahl, Form und Beweglichkeit der Spermien gibt. DNA-Brüche werden bei dieser Basisuntersuchung jedoch nicht erfasst.
Warum ist die DNA-Fragmentation wichtig?
Der DNA-Fragmentationstest untersucht die Qualität der DNA im Spermium und zeigt, wie hoch der Anteil der Zellen mit beschädigter DNA ist. Ein erhöhter Fragmentationsgrad kann:
- •Die Chancen auf eine natürliche Schwangerschaft deutlich verringern
- •Bei IVF oder ICSI die Aussichten auf eine erfolgreiche Behandlung senken
- •Das Fehlgeburtsrisiko erhöhen
Mögliche Ursachen
Die Ursachen für erhöhte DNA-Fragmentation sind vielfältig:
EAU-Empfehlung
Nach der aktuellen Empfehlung der European Association of Urology (EAU) wird die Bestimmung des DNA-Fragmentationsindexes bei Männern mit unklarer Kinderlosigkeit oder nach Fehlgeburten des Paares empfohlen.
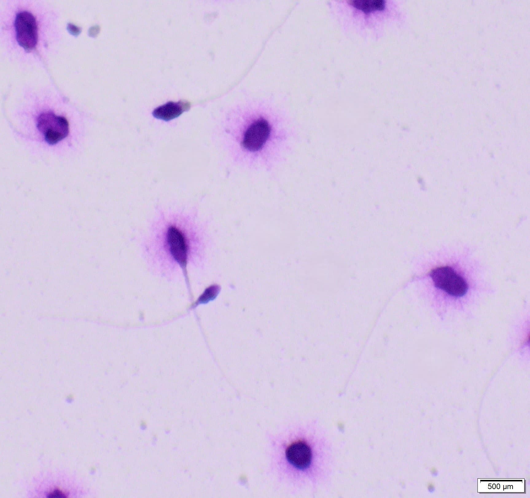
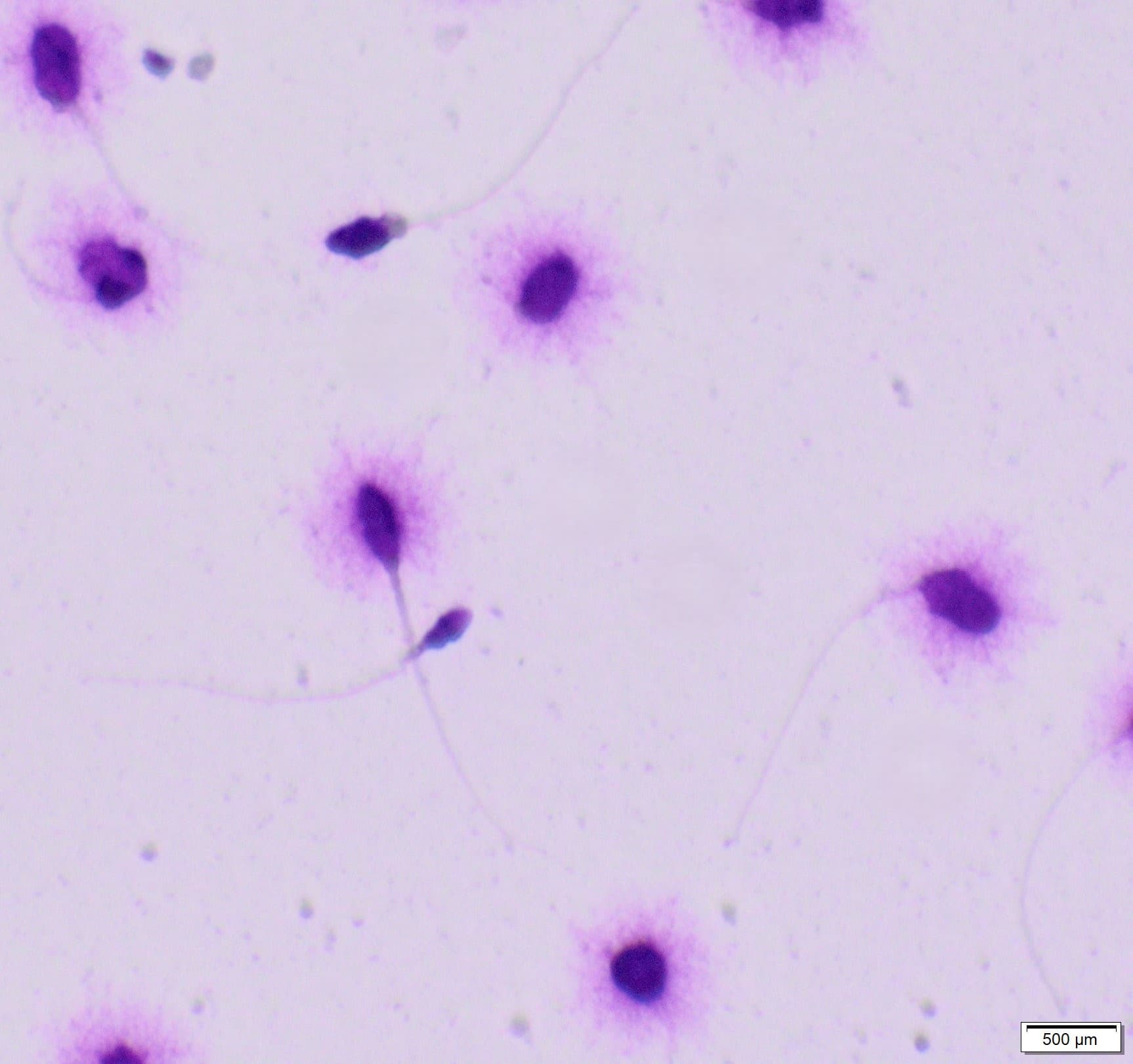
Der SCD-Test
In unserem Labor wird ein Spermien-Chromatin-Dispersionstest (SCD-Test) verwendet. Dazu werden die Spermien mit einer Säure und anderen Verbindungen behandelt, die eine Freisetzung der verpackten DNA-Strukturen bewirken.
Im Mikroskop findet man danach bei Spermien mit intakter DNA Schleifen (Halo) um den Kopf, während bei Spermien mit fragmentierter DNA entweder nur ein schwach ausgeprägter oder gar kein Halo zu sehen ist.

Richtwerte für den DNA-Fragmentationsindex (DFI)
Es gibt noch keinen internationalen Schwellenwert (Normalwert) für diesen Test. Für den SCD-Test wird in der Literatur ein Spermien-DFI von < 26,1 % als optimaler Grenzwert zur Unterscheidung von unfruchtbaren und fruchtbaren Männern mit einer Sensitivität von 80,8 %, einer Spezifität von 86,1 %, angegeben (Budi Wiweko, Basic Clin Androl. 2017).
Weitere Richtwerte für den DNA-Fragmentationsindex (DFI):
Terminvereinbarung
Für diese Untersuchung muss die Probe ganz frisch sein. Sie benötigen einen speziellen Termin.
Terminvereinbarung nur telefonisch möglich.